기사 메일전송
겨울철마다 급증하는 ‘발뒤꿈치 통증’…방치하면 만성화 위험 커져
  • 신정민 기자
  • 등록 2025-11-19 19:45:34

기사수정

이미지=구글

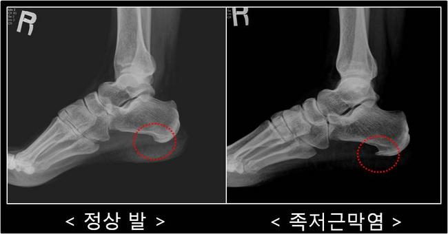
겨울철 기온이 떨어지면 발뒤꿈치 통증을 호소하는 이들이 크게 늘어난다. 특히 아침에 일어나 첫 발을 디딜 때 “발바닥이 찢어지는 듯하다”고 표현하는 경우가 많은데, 이는 족저근막염 초기 증상으로 잘 알려져 있다. 계단을 내려가거나 오랜 시간 서 있을 때 통증이 갑자기 심해지는 것도 특징이다. 전문가들은 이를 방치할 경우 만성 통증으로 이어질 가능성이 높아 조기 관리가 필요하다고 강조한다.


족저근막은 발뒤꿈치뼈에서 발가락 기저부까지 이어지는 강한 섬유 조직으로, 발의 아치를 유지하고 보행 시 충격을 흡수하는 핵심 구조다. 장시간 서 있거나 과도하게 걷는 생활이 반복되면 이 조직에 미세 손상이 쌓여 염증이 발생한다. 최근에는 스마트폰과 PC 사용 증가로 종아리와 아킬레스를 이루는 근육·건이 짧아지면서 발의 하중 분산이 어려워지고, 이로 인해 증상이 악화되는 사례도 보고되고 있다.


한의학에서는 족저근막염을 단순히 ‘발의 염증’으로 보지 않는다. 발바닥과 종아리 부위의 근막이 굳어 순환이 저하되면 염증이 반복되는 현상을 ‘기혈 울체’ 또는 ‘경근의 문제’로 해석한다. 침·약침·부항을 통해 순환을 개선하고 발목과 종아리의 긴장을 풀어주는 치료가 활용되며, 여기에 추나 등 정렬 교정을 더하면 골반과 고관절을 통해 내려오는 하중이 균형을 이루어 재발 위험을 줄일 수 있다는 설명이다.


환자별 발 구조에 맞춘 인솔 제작 역시 통증 완화에 도움이 된다. 평발이나 요족처럼 아치 변형이 있는 경우 적절한 인솔만으로도 증상이 크게 나아질 수 있어, 발뿐 아니라 전신의 균형을 함께 살피는 접근이 중요하다는 지적이 나온다.


한의사는 “족저근막염은 같은 부위에 통증을 느낀다고 해서 원인이 모두 동일한 것은 아니다”라며 “신발 착용 습관, 체형, 하체 근육의 유연성 등 개인적 특성이 큰 영향을 미친다”고 말했다. 이어 “발바닥만의 문제가 아닌 전신의 균형과 연결된 질환이기 때문에 생활습관과 체형, 보행 습관을 종합적으로 평가하는 것이 빠른 회복에 핵심”이라고 조언했다.

0
  • 목록 바로가기
  • 인쇄


이전 기사 보기 다음 기사 보기
최신뉴스더보기
많이 본 뉴스더보기
  1. 유튜버 소득 양극화 심화…상위 0.1% 연평균 49억, 다수는 ‘월 100만원 미만’ 국내 1인 미디어 시장에서 소득 양극화가 빠르게 심화되고 있는 것으로 나타났다. 전체 유튜버 중 상당수는 월 100만 원도 벌지 못하는 반면, 상위 0.1%는 연평균 50억 원에 가까운 수입을 올린 것으로 집계됐다.국회 기획재정위원회 소속 차규근 조국혁신당 의원이 20일 국세청에서 제출받아 공개한 자료에 따르면, 2023년 유튜버 등 1인 미디어 .
  2. 설빙, 생딸기 주제로 한 ''베리 머치 설빙" 메뉴 5종 출시 코리안 디저트 카페 설빙이 겨울을 맞아 생딸기를 주제로 한 ‘베리 머치 설빙(Berry Much Sulbing)’을 공개하고 신메뉴 2종을 포함한 ‘생딸기설빙’ 시리즈 메뉴 5종을 공개했다.‘생딸기설빙’ 시리즈는 매년 겨울의 시작을 알리는 설빙의 시그니처 시즌 메뉴로 출시 때마다 큰 사랑을 받아왔다. 올해는 ‘베리 머치 설빙...
  3. 통증 없을 때 이미 시작된다… 충치, 조기 발견이 살린다. 충치는 입안의 세균이 치아의 단단한 조직을 서서히 파괴하면서 발생하는 대표적인 구강 질환이다. 초기에는 통증이 거의 없어 눈에 띄지 않지만, 진행 속도가 빨라 치료 시기를 놓치면 염증이 신경까지 번지고 결국 발치가 필요해질 수 있다. 자연적으로 회복되지 않는 만큼 단계별로 적절한 치료를 받는 것이 핵심이다.충치의 시작 단계에...
  4. SPC 배스킨라빈스, 혁신 기술 적용한 2025 크리스마스 케이크 공 SPC 배스킨라빈스는 실험과 창조의 공간 ‘워크샵 by 배스킨라빈스(이하 ‘워크샵’)’에서 2025년 크리스마스 케이크를 공개했다.배스킨라빈스는 이날 ‘홀리데이 판타지(Holiday Fantasy)’를 테마로 아이스크림 케이크 18종을 선보였다. 토끼·다람쥐·고양이·산타·루돌프 등 귀여운 캐릭터를 케이크 디자인...
  5. “단풍길 걷고 나서 뒤꿈치가 찌릿”…가을철 족저근막염 주의보 가을 산책길이 즐거웠던 주부 전모 씨(56). 그러나 나들이 후부터 발뒤꿈치 통증이 시작됐고, 아침마다 첫발을 디딜 때마다 찌릿한 통증이 느껴졌다. 며칠간 참아봤지만 나아질 기미가 보이지 않아 병원을 찾은 결과, ‘족저근막염’ 진단을 받았다.가을은 단풍 구경과 등산 등 야외활동이 늘어나는 시기다. 하지만 갑작스러운 활동량 .
  6. 에이스침대, 가수 션 '승일희망요양병원'에 1억 기부 가수 션이 이사장으로 있는 승일희망재단이 운영하는 루게릭 전문 요양병원에 에이스침대가 1억 원을 기부했다. 기업 차원의 지속적 후원이 이어지며 국내 희귀질환 환우 지원 네트워크가 한층 강화되고 있다는 평가가 나온다.에이스침대는 24일, 경기도 용인에 위치한 승일희망요양병원에 총 1억 원의 지원금을 전달했다고 밝혔다. 이번 후...
  7. 굽네 듀먼, 블프 쇼핑 페스타 ‘듀듀데이’ 진행… 연중 최대 할인 혜택 반려견을 위한 프리미엄 자연화식 브랜드 ‘듀먼(D’human)’이 22일부터 4일간 자사몰에서 블프 쇼핑 페스타 ‘듀듀데이’를 진행한다고 21일 밝혔다. 이번 행사는 블랙프라이데이를 맞아 듀먼의 프리미엄 펫푸드를 연중 최대 쇼핑 혜택으로 만나볼 수 있는 대규모 프로모션이다. 1년 중 가장 큰 쇼핑 축제인 만큼 총 4가지 다채...
  8. 9. 공일 아래층 미싱이 안 돌아 조용한 다락, 장미꽃 밍크 이불 반 접어 요 되고 이불 되어 단잠 들어 단꿈 꾸는데 구멍 난 슬레이트 지붕에서 하얀 목화솜 같은 눈이 이마에 내려 나를 깨운다.공일이라 아무도 없다. 밥도 없다. 석유 곤로에 불피워 큰 노란 냄비에 밥하고 작은 노란 냄비에 삼양라면 하나 부숴서 찌개처럼 끓이면 반찬.그래도 공일이 ...
  9. 샤를리즈 테론 홍대에서 목격, 딸과 한국 여행 즐겨 할리우드 배우 샤를리즈 테론이 최근 서울 홍대 인근에서 목격됐다는 영상이 SNS를 통해 확산하며 관심이 집중되고 있다. 공식 일정은 없었지만, 영상 속 인물이 테론과 입양한 딸과 닮았다는 점에서 가족 여행 차원의 방한이 아니냐는 추측이 이어졌다. 팬들의 사진 요청에도 환하게 응하는 모습이 담기며 현장 분위기는 더욱 화제가 됐다...
  10. 더벤티, G-DRAGON과 함께한 겨울 시즌 신메뉴 광고 티저 공개 커피 프랜차이즈 더벤티가 브랜드 모델 G-DRAGON과 함께한 겨울 시즌 브랜드 캠페인 티저 영상을 공개했다.이번 캠페인은 매년 겨울마다 사랑받아 온 더벤티의 딸기 메뉴를 소개하기 위해 기획됐다. 공개된 티저 영상은 딸기 열기구에서 내려오는 ‘딸기 슈크림라떼’를 G-DRAGON이 낚아채며 “더벤티에 딸기 왔어요”라는 메시지와...
모바일 버전 바로가기